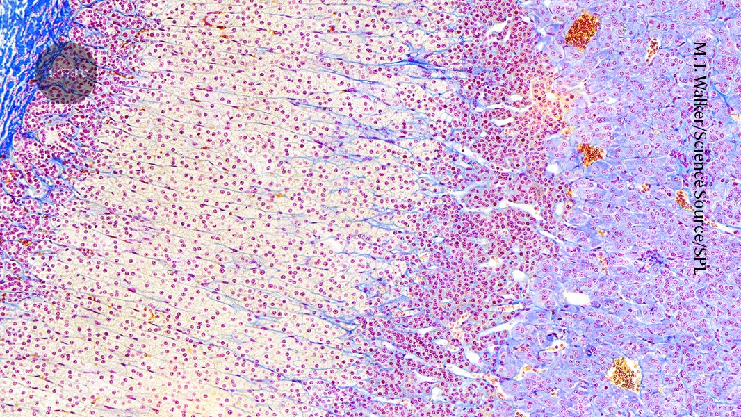
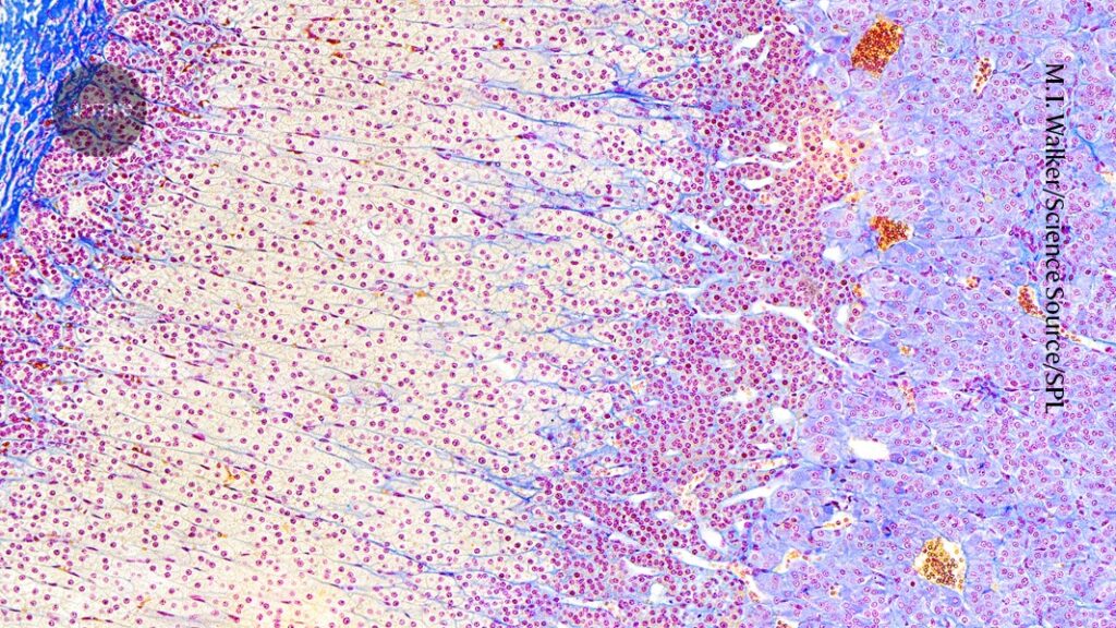
Share Facebook Twitter LinkedIn Pinterest Email Copy Link RESEARCH HIGHLIGHT 21 October 2025 Lab-grown structure mimics the adrenal cortex, which produces the critical hormone called cortisol. Glandinadish hormone Real secretes Stress