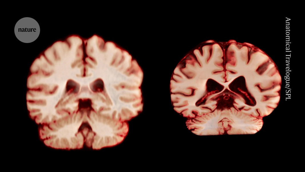
A healthy brain (left) and a brain affected by Alzheimer’s disease. Credit: Anatomical Travelogue/SPL
During ageing, men experience a greater reduction in volume across more regions of the brain than women do, according to a longitudinal study published today in the Proceedings of the National Academy of Sciences1. The authors suggest this means that age-related brain changes do not explain why women are more frequently diagnosed with Alzheimer’s disease than men are.
“It’s really important that we understand what happens in the healthy brain so that we can better understand what happens when people get these neurodegenerative conditions,” says Fiona Kumfor, a clinical neuropsychologist at the University of Sydney, Australia. This study adds to scientists’ understanding of typical brain ageing, she adds.
Nearly twice as many women are diagnosed with Alzheimer’s disease as men, and ageing is the biggest risk factor for the disease. This has prompted research into age-related sex differences in the brain. “If women’s brains declined more, that could have helped explain their higher Alzheimer’s prevalence,” says co-author Anne Ravndal, a PhD student at the University of Oslo.
Previous research investigating sex differences in brain ageing has shown mixed results, Ravndal adds. Several studies have found that men experience greater loss of total grey matter and hippocampus size compared with women, whereas other work has reported a sharper decline of grey matter in women.
Brain scans
The latest study included more than 12,500 magnetic resonance imaging (MRI) brain scans from 4,726 people — at least two scans per person, taken an average of three years apart — who did not have Alzheimer’s disease or any cognitive impairments and were control participants in 14 larger data sets. The researchers compared how the individuals’ brain structures changed over time, looking at factors including the thickness of grey matter and the size of areas that are associated with Alzheimer’s disease, such as the hippocampus, which is essential to memory.
Overall, men experienced a greater reduction in volume across more regions of the brain than women did. For example, the postcentral cortex, which is responsible for processing sensations of touch, pain and temperature, as well as the body’s own position and movements, declined by 2.0% per year in men and by 1.2% annually in women.
Kumfor says the results suggest that men age faster than women do. Men also have a shorter life expectancy.
If these changes did have a role in the development of Alzheimer’s disease, the study would have shown that women experience a greater decline in areas associated with the disease, such as the hippocampus and precuneus, which are involved in memory, says Amy Brodtmann, a clinician researcher in cognitive health at Monash University in Melbourne, Australia.
Ravndal says the results point to other possible explanations for the sex differences in prevalence of Alzheimer’s disease, such as differences in survival or susceptibility to the disease.
